Nhổ răng khi niềng có gây ảnh hưởng gì không? Nhiều người khi chuẩn bị niềng răng thường nghe bác sĩ nói đến việc “nhổ răng” và không khỏi lo lắng. Liệu nhổ răng khi ...
Niềng răng nên ăn gì? Gợi ý các thực phẩm tốt cho người niềng răng Người mới niềng răng nên ăn gì là vấn đề cần được lưu ý hàng đầu và rất quan trọng. Bởi chế độ ăn có ảnh hưởng tới quá ...
Niềng răng có ảnh hưởng tới phát âm, giọng nói không? Niềng răng không chỉ giúp cải thiện thẩm mỹ nụ cười mà còn tác động đến cách chúng ta ăn nhai và nói chuyện. Tuy nhiên, ...
Niềng răng tại nhà là gì? Tiềm ẩn những rủi ro nào? Niềng răng là một quá trình đòi hỏi thời gian, chi phí và sự theo dõi chặt chẽ từ bác sĩ nha khoa. Tuy nhiên, không ít ...
Bị khâu niềng răng cạ vào mồm phải làm sao? Việc bị khâu niềng răng (band niềng răng) cọ xát vào bên trong miệng là một vấn đề khá phổ biến trong quá trình niềng ...
Bí quyết tăng cân cho người niềng răng Quá trình niềng răng đôi khi lại khiến nhiều người gặp khó khăn trong việc ăn uống, dẫn đến tình trạng sụt cân ngoài ý ...
6 trường hợp niềng răng không cần cắm minivis Cắm minivis là một kỹ thuật hỗ trợ trong chỉnh nha giúp tạo điểm neo cố định vững chắc để di chuyển răng hiệu quả hơn. ...
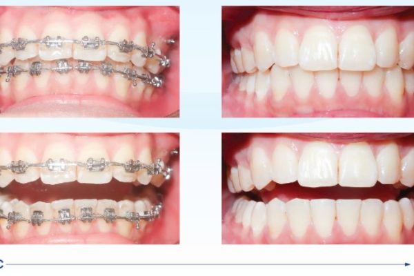
Niềng răng hoạt động như thế nào? Niềng răng là một phương pháp chỉnh nha phổ biến giúp khắc phục các vấn đề về răng miệng như răng hô, móm, khấp khểnh, ...
Giải đáp: Niềng răng thưa có phải nhổ răng không? Nhiều người nghĩ răng thưa thì khi niềng răng thưa không cần nhổ răng? Điều này có hoàn toàn chính xác? Thực ra chức ...