Chỉnh nha là phương pháp có thể khắc phục hiệu quả các khuyết điểm của răng như răng hô, vẩu, móm, lệch lạc… hiệu quả. Mà muốn được như vậy cần sự hỗ trợ đắc lực của nhiều loại khí cụ khác nhau. Nếu tò mò không biết khí cụ chỉnh nha hiện nay gồm sản phẩm nào thì đừng bỏ qua thông tin dưới đây nhé!
Mục lục
Khí cụ chỉnh nha là gì? Công dụng chính ra sao?

Khí cụ chỉnh nha có thể hiểu là các loại vật dụng để điều chỉnh, điều hướng cấu trúc của răng, hàm chuẩn theo những gì mà bản thân mong muốn. Tuỳ thuộc vào tình trạng của mỗi người, bác sĩ sẽ sử dụng những loại khí cụ khác nhau.
Công dụng chính của các loại khí cụ là:
- Khắc phục hiệu quả nhất tình trạng răng bị mọc lệch lạc, khấp khểnh, chen lấn, răng hô, vẩu…
- Điều chỉnh sai lệch về khớp cắn như khớp cắn chéo, khớp cắn ngược, khớp cắn sâu…
- Giữ khoảng trống sau khi răng sữa rụng trong trường hợp thay răng của trẻ em. Đảm bảo cho răng vĩnh viễn mọc không bị sai lệch.
Khí cụ chỉnh nha với niềng răng mắc cài cố định
Hiện nay, niềng răng mắc cài cố định vẫn là phương pháp được nhiều người lựa chọn với hiệu quả cao và chi phí phù hợp. Chúng bao gồm các loại khí cụ chính sau đây:
1. Hệ thống mắc cài

Hệ thống mắc cài đóng vai trò quan trọng nhất được gắn trực tiếp lên răng để cố định, giữ toàn bộ dây cung. Mắc cài thường làm từ thép không gì hoặc sứ, pha lê và được chia thành mắc cài 3 cánh, 4 cánh hoặc 6 cánh.
Dựa theo cấu tạo, mắc cài còn được chia làm mắc cài thường và mắc cài tự đóng.
- Mắc cài thường: Bác sĩ luồn dây cung vào các khe ở phần thân, cố định lại bằng cách buộc chỉ thép hoặc thun nha khoa.
- Mắc cài tự đóng: Có khóa đóng mở tự động, không phải buộc khí cụ như dây thun nhằm tạo lực kéo ổn định hơn, mang tới hiệu quả tốt hơn.
Dựa theo chất liệu, mắc cài được chia thành mắc cài kim loại và mắc cài sứ với đặc điểm khác nhau
- Mắc cài kim loại: Phần mắc cài làm từ thép không gỉ hoặc đắt hơn thì làm bằng vàng, bạc.
- Mắc cài sứ: Làm từ sứ nguyên chất hoặc hợp kim gốm, có màu sắc tương tự với răng thật nên độ thẩm mỹ cao hơn hẳn kim loại. Sản phẩm này được cải tiến mới không sợ gây kích ứng cho khoang miệng hay tổn thương môi, má.
Đọc thêm: Nên niềng răng bằng mắc cài sứ hay kim loại?
2. Dây cung

Với niềng răng mắc cài cố định, dây cung là khí cụ quan trọng tiếp theo. Chúng có nhiệm vụ kết nối giữa các mắc cài, tạo lực kéo răng di chuyển theo hướng đã định sẵn, giúp răng chuẩn khớp cắn, đều và đẹp hơn.
Dây cung sẽ được gắn vào các khe của mắc cài, được cố định bằng dây thun với niềng răng mắc cài truyền thống hoặc chốt tự động với niềng răng mắc cài tự đóng. Chất liệu làm dây cung chủ yếu là thép không gỉ Niken – Titanium và có nhiều loại khác nhau về hình dạng, kích thước. Tuỳ vào mỗi giai đoạn khác nhau mà bác sĩ đưa ra sự lựa chọn tốt nhất.
Tìm hiểu thêm: Dây cung đâm vào má nên xử lý thế nào?
3. Hook
Hook là một loại bộ phận nhỏ trên đầu của mắc cài (bracket), với mục đích gắn dây thun liên hàm ở cả hàm trên và hàm dưới. Hook được gắn ở răng nanh hoặc các răng cối nhỏ và trên khâu (band) hay mắc cài (bracket) của răng cối lớn.
4. Band (Khâu chỉnh nha)

Band hay khâu chỉnh nha là khí cụ được sử dụng rộng rãi. Chúng làm từ kim loại, có hình dạng tròn hoặc hơi vuông. Thiết kế này phù hợp với dáng răng hàm của người dùng và có móc để gắn thun cũng như ống nhỏ để luồn dây.
Sau khi tách kẽ răng, các bác sĩ thường gắn khâu tại vị trí răng hàm số 6 hoặc số 7 và đi cùng đến lúc tháo niềng. Khâu đảm nhận chức năng như nơi neo giữ, tạo lực cho hệ thống mắc cài hoặc thun liên hàm, kéo răng về đúng vị trí như mong muốn. Khi dùng khâu, việc chỉnh nha diễn ra nhanh chóng, có kết quả tốt nhờ lực ổn định hơn.
5. Minivis

Minivis được làm từ chất liệu Titanium và cấu tạo theo hình xoắn ốc. Bác sĩ đặt minivis vào xương hàm, tạo điểm neo chặn cố định giúp di chuyển khối răng trước lùi ra sau. Khi đó khớp cắn sẽ chuẩn hơn.
Bên cạnh đó, minivis còn rút ngắn thời gian trị liệu nhờ tạo lực kéo mạnh mẽ và ổn định. Theo thống kê, khí cụ này hỗ trợ giảm tới 30% tổng thời gian so với không gắn vít.
Những vị trí dùng để cắm vít thường là răng số 5, 6 và số lượng dùng 4 cái phân chia đều cho cả hàm trên lẫn hàm dưới. Các trường hợp cần cắm vít là khi răng bị hô, vẩu, răng mọc chìa ra ngoài.
6. Lò xo

Lò xo được dùng trong chỉnh nha với chức năng đẩy, kéo, mở hoặc đóng khoảng cách giữa các răng. Bác sĩ gắn chúng vào răng hàm kết nối cùng dây cung phía sau răng nanh.
Mục đích chính là tạo ra lực kéo hoặc đẩy nhẹ liên tục giúp mang lại hiệu quả cao, nhanh chóng đưa răng về vị trí như mong muốn. Hiện nay lò xo để niềng răng có 3 loại chính là: lò xo đẩy, lò xo kéo và lò xo duy trì. Mỗi giai đoạn, bác sĩ sẽ đưa ra lựa chọn thích hợp.
7. Thun tách kẽ

Thun tách kẽ là sợi thun hình tròn hoặc hình chữ nhật bo viền các đầu, hơi cứng, được làm từ cao su. Mục đích chính của khí cụ chỉnh nha này nhằm tạo khoảng cách giữa 2 kẽ răng với nhau, hỗ trợ gắn các khâu vào răng hàm trở nên dễ dàng.
Thông thường, gắn thun tách kẽ được thực hiện đầu tiên trước khi niềng răng và tuỳ thuộc tình trạng của mỗi người. Thời gian đeo thun tách kẽ thường 5 – 7 ngày hoặc có thể dài hơn.
8. Thun liên hàm

Thun liên hàm là thun chuyên dụng, đặt vào một đầu của mắc cài hàm trên và đầu còn lại gắn vào mắc cài hàm dưới. Khí cụ chỉnh nha này có công dụng chính tạo lực kéo nhằm đưa các răng về vị trí chuẩn như mong muốn, hai hàm tương quan và đúng khớp cắn.
Các trường hợp cần sử dụng thun liên hàm là: cần kéo răng khểnh, răng mọc lệch hẳn về phía trên, điều chỉnh khớp cắn giữa 2 hàm. Tuy nhiên hơi khác so với thun tách kẽ thì thun liên hàm cần được thay đổi mỗi ngày khi chúng đã hết lực co giãn.
Đa số các trường hợp cần đeo thun liên hàm khi bắt đầu niềng răng và thời gian liên tục 20 giờ/ngày. Thậm chí ngay cả khi ngủ bạn cũng cần đeo và chỉ bỏ ra lúc ăn uống, vệ sinh răng miệng.
9. Thun chuỗi (Chun chuỗi)

Thun chuỗi hay chun chuỗi là dải cao su nhiều vòng hình chữ O được kết nối với nhau tạo thành một dải từ răng này sang răng khác. Khi gắn lên hệ thống mắc cài, thun chuỗi giúp đóng dần các khe hở, các khoảng trống trên răng. Chun chuỗi cũng được chia thành nhiều loại như chun chuỗi liên tục (cho 2 răng kề nhau), chun chuỗi ngắn (cho 3,4 răng) và chun chuỗi dài (có khi là cả hàm).
10. Khí cụ nong hàm

Khí cụ nong hàm được thực hiện nhằm mục đích nới rộng diện tích vòm miệng, tăng khoảng cách giữa các răng. Hiện nay có 2 loại khí cụ nong hàm là tháo lắp và cố định.
Nong hàm dùng cho người có cung hàm nhỏ, quá hẹp, một trong hai hàm mất cân đối, bị lệch, méo hẳn sang một bên. Độ tuổi thực hiện thường là bé từ 6 – 15 tuổi hoặc người chuẩn bị niềng răng.
Khi nong hàm, răng hàm trên có sự giãn cách, đồng thời tách dần 2 xương khẩu cái, làm hàm trên nới rộng ra. Khoảng trống cần thiết đó góp phần hạn chế việc nhổ răng khi chỉnh nha.
11. Hàm duy trì

Sau khi đã hoàn tất thời gian niềng răng, bạn vẫn cần đeo hàm duy trì theo chỉ định của bác sĩ. Hàm duy trì có tác dụng giữ cho răng ổn định, chắc chắn và duy trì kết quả lâu dài. Bởi vì sau khi tháo niềng, trong quá trình ăn uống, vệ sinh răng miệng, hàm răng có nguy cơ bị xô lệch, chạy về vị trí cũ. Đó là lý do mọi người đeo hàm duy trì thêm thời gian nữa nhé.
Hiện nay có 2 loại hàm duy trì là cố định và tháo lắp. Tuỳ theo tình trạng răng miệng cũng như nhu cầu của khách hàng, bác sĩ sẽ sử dụng loại hàm duy trì thích hợp.
Khí cụ chỉnh nha niềng răng trong suốt
Niềng răng trong suốt là phương pháp hiện đại nhất được nhiều người lựa chọn thời gian gần đây. Thay vì các loại khí cụ phức tạp như trên, niềng răng trong suốt bao gồm khay niềng và attachment.
1. Khay niềng trong suốt

Có 3 loại khay niềng trong suốt được sử dụng là Invisalign, eCligner và Clear Aligner. Trong đó, thương hiệu Invisalign xuất xứ từ Hoa Kỳ, eCligner từ Hàn Quốc và Clear Aligner của Việt Nam.
Trong quá trình sử dụng, bạn sẽ đeo một chuỗi các khay niềng trong suốt khoảng từ 20 – 48 khay tuỳ theo tình trạng sức khoẻ của mỗi người. Những khay này ôm sát khít bề mặt răng nhằm tạo lực kéo ổn định giúp răng di chuyển về đúng vị trí như mong muốn.
Cũng bởi được làm từ nhựa trong suốt chuyên biệt nên có cảm giác “niềng như không niềng”. Bên cạnh đó, bạn sử dụng hoàn toàn thoải mái, dễ dàng tháo ra, lắp vào khi ăn uống, vệ sinh răng miệng. Chúng cũng không gây kích ứng hay tổn thương cho môi, má.
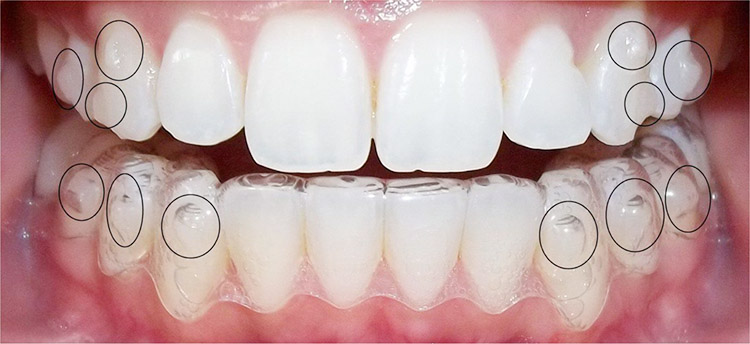
2. Attachment

Attachment là những nút chặn bằng chất liệu nha khoa có hình tròn, vuông hoặc tam giác, màu sắc cũng giống với màu răng. Khí cụ chỉnh nha này tác dụng như mắc cài trong niềng răng, được gắn lên răng thật nhằm tạo điểm bám giúp lực ổn định hơn.
Sự tổng hợp của nhiều khí cụ chỉnh nha giúp quá trình niềng răng diễn ra nhanh chóng, an toàn và thuận lợi đúng theo phác đồ trị liệu. Tuỳ thuộc vào tình trạng của mỗi người, bác sĩ sẽ đưa ra hướng dẫn cụ thể nhất nhé!